放射線科

 放射線科は医師の依頼のもと、X線撮影装置、CT装置等を用いて撮影し、画像情報を提供しています。
診断価値のある画像を提供するとともに、患者さんに安心・安全に検査を行っていただけるよう丁寧な対応を心がけています。

X線撮影室

 胸部・腹部および全身骨部のX線撮影を行っています。
 撮影部位によって着替えをお願いしています。
 湿布・カイロ・アクセサリー等は外していただく場合があります。

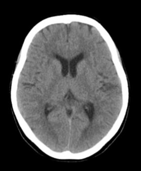
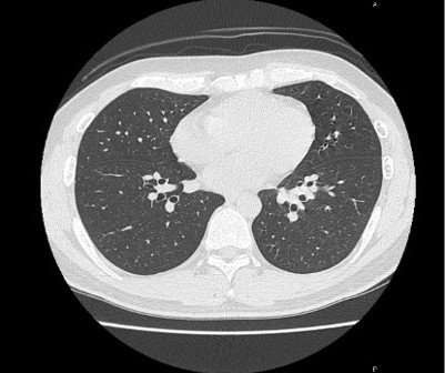
CT撮影室

 X線を使って体を輪切りにした画像を構成します。
 当院では80列マルチスライスCTが稼働しており、数秒の息止めで胸部から骨盤まで撮影することができ
 ます。また被ばくを低減させる機能も搭載されています。

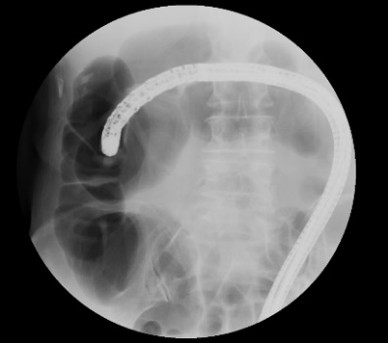
X線TV室

 主に大腸内視鏡検査・消化器造影検査などを行っています。